
Em que casos se aplicam coroas dentárias?
As coroas podem ser aplicadas em duas situações distintas:
• Para pacientes com um ou mais dentes danificados. Ao serem aplicadas sobre estes, é-lhes devolvida a sua função.
• Em pacientes com ausência dentária, as coroas podem ser afixadas em implantes dentários, devolvendo assim, a função mecânica e estética perdida.
Ou seja, a aplicação de coroas dentárias são a solução mais adequada em situações de:
• Dentes enfraquecidos (por exemplo: cáries);
• Dentes fraturados;
• Dentes desvitalizados;
• Ausência de dentes.
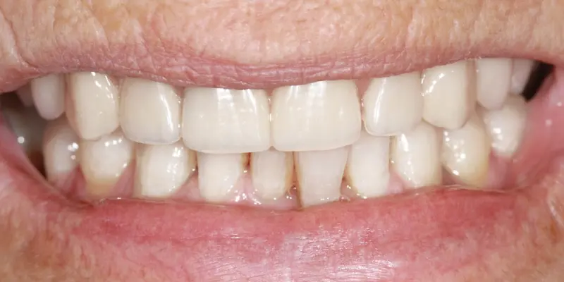
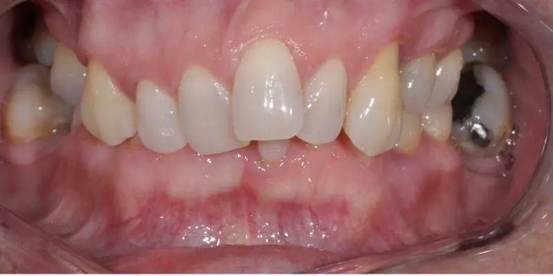
As Coroas Dentárias são uma solução eficaz e duradoura para melhorar o aspeto do seu sorriso.
Quais as vantagens das coroas dentárias?
De entre várias, destacamos as seguintes:
- O paciente recupera o processo de mastigação;
- Os dentes acabam por ficar protegidos;
- Os materiais utilizados nas coroas têm uma grande durabilidade.
Alguns Casos Clínicos de referência
Veja a clínica dentária mais
perto de si!
Perguntas Frequentes
A colocação de coroas dentárias envolve várias etapas.
As coroas dentárias podem durar de 5 a 12 anos, dependendo dos cuidados que o paciente tem.
Os cuidados a ter incluem bons hábitos de higiene oral e consultas regulares no dentista.



